SERVICIO DE ORTODONCIA
Con el servicio de ortodoncia puede mejorar su sonrisa sin ver comprometida su estética dental durante tu tratamiento ortodontico. Por eso, los objetivos de nuestros tratamientos, no es solo son devolver la función y una estética dental agradable a tu sonrisa, sino también mantener una buena imagen mientras la finalización de su tratamiento.
ORTODONCIA INVISIBLE
Estéticos sin metal y sin sacrificios
Al igual que otros métodos tradicionales de alineación, los moons ejercen una presión ligera y controlada sobre los dientes para moverlos poco a poco.
La diferencia es que son totalmente transparentes, no tienen metal y se quitan para comer
Cambia tu sonrisa, no tu estilo de vida.
Tratamiento tradicional
Tienes la boca llena de metal
Entre 12 y 36 meses de tratamiento
Cortan e irritan encías y labios
No puedes comer nada duro ni crujiente
Moons
Prácticamente invisibles
6 meses de tratamiento en promedio
No lastiman dientes ni encias
Se quitan para comer, beber y cepillar tus dientes
Sonrisa Increíble en 3 pasos
1. Impresiones
2. Escaneo 3D
3. Recibe tus Moons
¡Disfruta tu nueva sonrisa!
ORTODONCIA TRADICIONAL
Nuestros planes integrales incluyen: paquete de ortodoncia, juego de brackets de última generación, profilaxis con kit de higiene oral, hasta dos reparaciones de brackets y hasta dos retenedores al finalizar tu tratamiento.
Con nuestros tratamientos de ortodoncia podrás lograr:
Enderezar los dientes
Corregir problemas con la mordida
Cerrar los espacios entre los dientes
Alinear adecuadamente los labios y los dientes
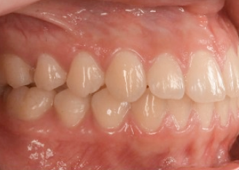
ANTES
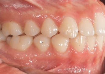
ANTES
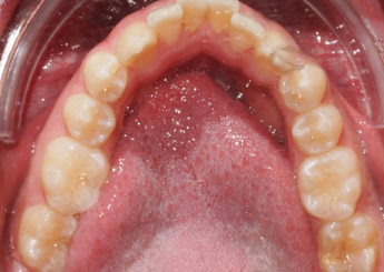
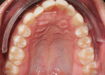
ANTES
DESPUÉS
DESPUÉS
DESPUÉS

